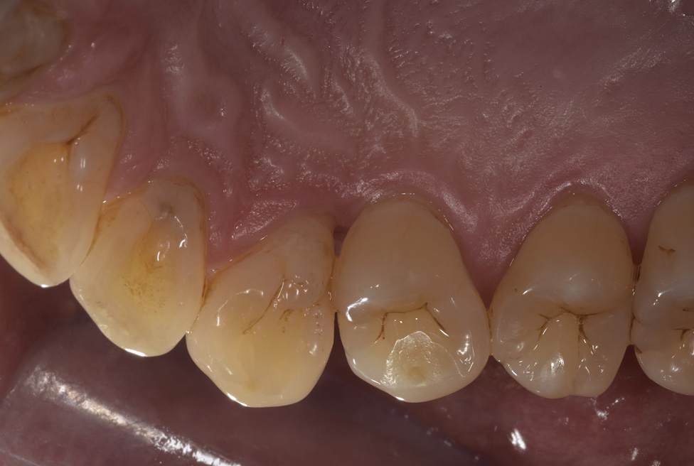
After one year non-surgical therapy
M-MIST under microscope
suture removal in one week
https://www.youtube.com/watch?...
two months healing
one year healing
Please login to comment
The maximum allowed number of participants for this meeting has been reached.
The maximum allowed number of meetings for this Event has been reached.
Start chatting with other participants. See the list by clicking the button at the top right of this screen..